[묻고답하기 이용안내]
2015120200331_0.jpg


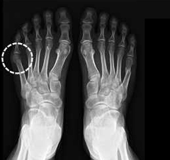
처음엔 별문제 없다가도, 세시간 정도 라이딩하고 나면 사진에 표시된 부위에 통증이 오는데요


원인이 뭔지 잘 모르겠습니다ㅠㅠ


제 추측으로는


1. 부츠가 발에 맞지 않는다


2. 토스트랩에 눌려서 그렇다


3. 라이딩 자세에 문제가 있다


이정도로 생각해보았습니다.....


부츠는 1415 말라뮤트, 바인딩은 1415 홀로그램입니다


토스트랩의 경우, 양쪽 발 모두 가운데에 오는걸로 보아 센터링에는 문제가 없는듯한데, 

이상하게 한쪽발만 아프네요;;



혹시 저처럼 새끼발가락의 저 부위에 통증을 경험하신 분 계시면 조언 부탁드립니다



꽃을든옥동자

2016.02.29 14:36:23
*.72.156.179

저도 발에 통증오는데..


제 생각엔  1, 2 번 같아요 토스트랩 꽉매면 부츠를 눌러서 더 아파지는거같더라구요

blacksnow

2016.02.29 14:40:14
*.231.145.210

본인 엑스레이 사진이신가요?

잘은 모르지만 왼쪽 뼈만 바깥쪽으로 휜걸봐서 라이딩시 그쪽 관절에 과도한 무게로 압박되어 그런건 아니실런지

그냥 엑스레이 보다가 생각난 의견입니다 

참교육

2016.02.29 14:43:12
*.46.60.224

아 제 엑스레이는 아니구요ㅎㅎ 

저 부분을 정확히 말로 표현하기가 어려울듯해서 구글링에서 퍼왔습니다

거지의꿈

2016.02.29 14:59:58
*.70.55.111

발볼의 크기가 양발이 달라 생길수 있는 통증

토 스트랩의 압박으로 인한 통증

왼발이 앞쪽으로 오는 레귤러시라면

라이딩에서 오는 하중의 정도로 인한통증

바인딩 각도가 본인에게 맞지않아 생길수 있는 통증

하나씩 체크해보시길 추천드립니다~

거지의꿈

2016.02.29 15:02:12
*.70.55.111

홀로그램이 바인딩이 토에 고정되는건가요
발등에 고정되는건가요?

발등에 고정되는거라면 스트랩에 눌리고 라이딩에치이고 발볼에치여 복합적인게 아닐지..

거지의꿈

2016.02.29 15:04:24
*.70.55.111

찾아보니 홀로그램도 퀀텀과 같이 토에 고정하는거네요

혹시 발등에 고정하신건 아닌지~

3살헝글볻어

2016.02.29 15:53:37
*.210.40.117

저 같은 경우는 이번에 부츠를 새걸로 바꾸었거든요. 발 볼이 커서 조금 편한걸로 바구었는데. 이게 볼이 좀 넓다 보니 그 안에서 발가락이 놀아요. 라이딩시 한쪽으로 체중이 쏠리는 상태인데 그 상태에서 발가락이 안에서 좀 놀다보니깐 그 쪽으로 압박이 와서 아프드라구요;;

전일권

2016.02.29 17:35:33
*.62.188.5

제가 말라 신을때 겪은 증상입니다
진짜 양쪽 새끼발가락을 차라리 잘라버리고 싶었죠
저는 볼 넓은 부츠로 갈아타고 문제없네요

파워카빙C

2016.02.29 17:59:06
*.46.45.199

저도 같은 증상
이유는 스트랩 쌔게 조여서 그랬었습니다

lindt

2016.03.02 01:09:10
*.50.175.73

스트랩 저도 세게 조이는 사람인데 너무 세게 조이면 통증 오죠

List of Articles
번호 제목 글쓴이 날짜 조회 수
공지 [묻고답하기 게시판 이용안내] [9] Rider 2017-03-14 175927
150127 하이원 셔틀버스는 폐장때까지 무료인가요? [6] 중국에서고... 2016-02-29 819
150126 디럭스id 270신고 데페163 붓아웃 날까요? file [6] 목캔디 2016-02-29 1053
150125 비발디 내일 사람들 많을까요? [2] 원동건 2016-02-29 553
150124 요넥스 Flex 질문!! [3] 1234 2016-02-29 545
150123 3.1 일산~하이원 셔틀버스 예약되나요? 나이지리아 2016-02-29 560
150122 3월중순 강원도 스키장 [9] Entourage 2016-02-29 746
150121 유니온 바인딩 데크 결합 문의 [4] 노기요미 2016-02-29 624
150120 마콘 사이즈 질문드립니다!!! [2] 검은리본 2016-02-29 609
150119 턴할때 자세 뭐가 문제일까여.. 고수분들 도와주세요!! [12] 핵노잼 2016-02-29 1060
150118 스티어링 느는 훈련법 있을까요? [8] blacksnow 2016-02-29 873
150117 대명비발디..오늘 야간 심야 백야 [3] 귀염둥이Kim 2016-02-29 532
150116 새 보드 부츠 보관 질문이요 [8] Fe수세미 2016-02-29 613
150115 덕에서 전향 전환 질문이요 [9] 불꽃라운딩 2016-02-29 816
150114 여성 보드복 바지 추천좀해주세요~ file [3] 인천페리장 2016-02-29 697
150113 디미토 브랜드 팬츠는 어떤가요? file [5] 펜줄놈 2016-02-29 1028
150112 트릭 데크 결정장애...부탁드립니다. [4] 왓드맹 2016-02-29 842
» 새끼발가락 통증문제.... 원인이 뭘까요? file [10] 참교육 2016-02-29 3267
150110 엉툭튀 어쩌면 좋죠? file [16] usami 2016-02-29 1855
150109 홀리데이 뭐죠? [2] 레강 2016-02-29 734
150108 안녕하세요~보드셋 추천좀해주세요ㅠ [5] 크로우즈제로 2016-02-29 873